Страшные истории:00CRESCENT00
00CRESCENT00
Хронология событий
Ход данной Игры в Альтернативной Реальности начался в незадокументированном треде /x/ 4chan.org, где было оставлено сообщение, наряду со ссылкой, ведущей на один (первый) из роликов определённого канала на видеохостинге YouTube. Содержание исходного послания транскрибировалось следующим образом:
"The time is not right.
But when it is, you must follow me.",
что переводится как:
"Ещё не время.
Но когда оно настанет, вы должны последовать за мной."
Немногое удалось установить при базовом анализе, пока некто не опубликовал ссылку на официальный судебный отчёт о прошедшем заседании по делу крушения Boeing 727 в Кеннере, Луизиане.
При поисках информации по данному рейсу и его связи с видеозаписью CRESCENT достаточно полезным оказался ныне удалённый из свободного пользования новостной репортаж с места крушения, вырезки из которого частично применялись при составлении оригинального ролика с канала. Из заполученных фактов можно перечислить следующее:
• Один ребёнок по имени Мелисса Трехан был найден в обломках самолёта. На тот момент ей было шестнадцать месяцев.
• На 00:37 по таймингу появляется снимок карты с ацтекским символом на одном из зданий, обозначающем "дом" и помечающем место крушения самолёта, находящееся между улицами Hadson и Taylor.
• Была обнаружена более детальная схема с описанием подробностей трагедии.
Первая видеозапись
Разбивка видеозаписи на кадры выявила, что их превалирующее количество было взято из репортажа, тогда как определённая часть, представляющая больший интерес, имеет иное происхождение. Основную часть аудиотрека составляет песня "What a Wonderful World", исполненная Луи Армстронгом. Более того, на 00:31 можно услышать голос метеоролога, описывающего погодную сводку. На 00:34 звучит синтетически искажённый голос, сопровождаемый съёмкой появления машины скорой помощи.
Описание к ролику состоит из фразы "WILL YOU FOLLOW ME?", что переводится как "ПОСЛЕДУЕТЕ ЛИ ВЫ ЗА МНОЙ?", и подписи "The Crescent !!z8gUHIJL5hj", где за двумя знаками вопроса находится трипкод, которым автор помечал свои посты в тредах. Дата загрузки — 25 августа 2008 года; принадлежная категория — "общество". В комментариях имеются два ответа Полумесяца на поставленные вопросы:
BrettLowers: "Will you get us in touch with Melissa Trahan?" ("Вы свяжете нас с Меллисой Трехан?")
00CRESCENT00: "No. The locations will be of importance. The only people that matter are you and I, Anonymous. Only you and I." ("Нет. Локации важны. Единственные значимые люди — это вы и я, Аноним. Только вы и я")
BrettLowers: "Could I follow you to the Kenner Planetarium?" ("Я могу последовать за вами в Планетарий Кеннера?")
00CRESCENT00: "This is not where I will lead you." ("Я веду вас не туда.")
Раскадровка ключевых моментов:








Вторая видеозапись
Второй ролик был опубликован на /x/ с единичной подписью "When", что, учитывая некоторые специфичные обстоятельства изображённого на кадрах, означает, что данный файл является ключом к разгадке точного времени и даты некого события. Дата загрузки — 27 августа 2008 года; принадлежная категория — путешествия. Примечательные комментарии, в основном, отсутствуют. Описание состоит из целого ряда предложений, часть которых, упоминающая надвигавшийся 29-30 августа тропический циклон Густав, была добавлена 29-30 августа, уже через 2-3 дня после публикации:
"Hopefully you know where. (Надеюсь, вы знаете где.)
Now know when. (Теперь узнаете когда.)
8.30.08: Gustav will not affect The Crescent. Yet I could not meet you today because of Gustav. (8.30.08: Густав не повлияет на Полумесяц. Тем не менее я не смог встретить вас сегодня из-за Густава.)
I will stay. The Crescent will stay. (Я останусь. Полумесяц остаётся.)
I will be in touch. (Я буду на связи.)"
Дальнейший анализ видеозаписи показал, что определению точной даты способствует изучение демонстрируемых фаз луны, в частности увядающего полумесяца с 530 кадра, сопоставленного с 28 августа по лунному календарю. На кадре под номером 342 в правом нижнем углу виднеется время "7:59", что, необходимо отметить, идентично номеру рейса, потерпевшему крушение в Кеннере. Анализ кадра 551 предоставляет имя дня "Miquiztli" по ацтекскому исчислению, также зовущегося днём смерти, которому покровительствует Тексистекатль, по мифологии бывший богом луны, представляющим её мужской аспект. Изображался старцем, несущим на спине белую морскую раковину (раковину улитки), символизирующую луну, либо с крыльями бабочки. Упомянутый день "Miquiztli" по григорианскому календарю отвечает за 30 августа, на которое луна будет находится в фазе полумесяца.
Раскадровка ключевых моментов:





















Третья видеозапись
Третье видео было опубликовано 8 сентября 2008 года без проведения уведомления пользователей Unfiction или посетителей /x/. Принадлежной категорией всё ещё остаётся раздел "путешествий", что при учете его дальнейшего выбора может говорить о возможной связи посланий с постоянным перемещением от места к месту и чередованию дат. Описание достаточно тривиально и содержит фразу с кадров "I have returned".
Анализ показал, что на 182 кадре вновь изображена метеосъёмка надвигающегося урагана, на этот раз им является Ханна. Участник-игрок форума Unfiction с никнеймом "twelve" предположил, что его наличие в видеозаписи может свидетельствовать о том, что пункт встречи переместился на юг, именно туда, куда движется природная стихия. Он также заметил, что на изображениях мелькает фраза "I have tenacity" (Мне свойственно упорство) и предложение "I have been suppressed, but this day I will not fear it" (Я был подавлен, но в этот день я не побоюсь), и, что гораздо более интересно, в дальнейшем первая фраза была удалена из ролика, о чём говорит повторная раскадровка по состоянию на 24.02.2015, и, возможно, заменена на "I have returned" (Я вернулся) из описания, поскольку её раннее упоминание в сети не присутствует, а прошлое состояние файла увидеть невозможно. Этот же пользователь при анализе 393 кадра с цифрой "8" привёл ряд возможных доводов в пользу её применения, так, например, оно могло означать количество дней ожидания, что в точности подходило ситуации на тот момент, и символ, который скваттеры используют для пометки пустующих/"безопасных" домов или строений, что в какой-то мере пересекается с предложением "I will be in my house" (Я буду в своём доме) Полумесяца.
Заключающей обнаруженной чертой оказалось изображение Малинче с 303 кадра, а ближайшим на тот момент днём Малинче было 25 сентября, что пометило очередную дату встречи, следовавшую за отмененным 30 августа, днём "Miquiztli", прерванным появлением циклона, в связи с чем все инициативные игроки не могли выехать на место.
Раскадровка ключевых моментов:
















Четвёртая видеозапись
Следующее видео оказалось в какой-то мере поворотным событием, т.к. его дальнейший анализ выявил ранее упущенные фрагменты всей головоломки и установил плотные связи сюжетной линии с цифрой "8". Ролик всё ещё принадлежит категории путешествий, загружен он был 10 сентября 2008 года, а описание составлено двумя предложениями: "I want to help (Я хочу помочь)" и "I have been watching (Я наблюдаю)" Активные комментарии, оставленные автором, отсутствовали, а сам файл, по всей видимости, не изменялся.
Анализ, в основном, проводившийся пользователем "MatrixofReality", установил присутствие в аудиочасти реверснутого звука звона колоколов-курантов, которые пробивают ровно восемь раз, что, учитывая прошлую назначенную на 7:59 встречу (отличается всего на одну минуту), может также помечать новое время на 25 сентября, однако в таком случае оставался вопрос о том, восемь ли часов утра или вечера. Сверх всего этого, было замечено, что на первой видеозаписи, посвящённой прямому крушению самолёта, показана фотография памятника с 8-ью именами на нём, два из которых принадлежат погибшим членам семьи Трехан. В свете такого символизма, как полагали члены форума, реверснутый звон мог быть отображением смерти, а оригинальное звучание — жизни или состояния при жизни.
Раскадровка ключевых моментов:






Пятая видеозапись
Новая видеозапись была загружена 16 сентября 2008 года, прикладная категория, как и во всех прочих случаях, "путешествия". Описание состоит из трех фраз: "where (где). GO (НАПРАВЛЯЙТЕСЬ). THEY MAY STILL BE WAITING (ВОЗМОЖНО, ОНИ ВСЁ ЕЩЁ ЖДУТ)", где последние две были добавлены значительно позже, о чём уведомлялось в обсуждении на Unfiction. Графа комментариев примечательной информации не содержит. Следует отметить, что на данном ролике значительно укоротилось количество просмотров, что даёт повод полагать о явном сужении аудитории и формировании более узкого круга игроков. Видеоряд не пестрит новшествами, изображая одну только съёмку столбов с рядом автоматизированных колоколов, закреплённых на их верхушке. На 121 кадре на секунду появляется надпись "ABCDEFG4IJK2MN13QRSTUVWXYZ", незамысловатая шифровка в виде латинского алфавита с пропущенными буквами, на месте которых стоят цифры. Цифры пронумеровывают порядок, в котором необходимо читать получившуюся аббревиатуру "HLOP", а значит, итоговый вариант — "OLPH", что хранит в себе название "Our Lady of Perpetual Help", отвечающее за "Икону Божьей Матери Неустанной Помощи", одна из которых установлена в Кеннере, не так далеко от пункта крушения самолёта.
Незадолго после публикации видеозаписи 00CRESCENT00 подписывается на канал некой девушки "megalyn2525", умершей за год до возникновения ARG. Причина смерти — автокатастрофа, убийцей оказался водитель, ехавший из Кеннера, на территории которого и умерла героиня. Датой её рождения оказалось 25 сентября 1986 года, что совпадает с числом, в которое 00CRESCENT00 предполагал встречу.
26 сентября пользователь "twelve" сообщает, что на место встречи никто так и не приехал, в ответ на что 00CRESCENT00 послал личным сообщением на YouTube следующее: "The 8 may still be there. (Восьмеро могут до сих пор быть там.) And they bear my message. (И они несут моё послание.)". Более того, тогда и произошло обновление описания к видеозаписи с добавлением последующих предложений. В тот же день объявился некий анонимный "Following", утверждающий, что по воле случая он оказался в городе на ночь и остановился возле церкви в порыве расследования. Он взял несколько фотографий ((1) и [1]) на свой телефон, но за течением лет они были удалены с Твиттера, и никто их не сохранил. Оказалось, что восемью оказались красные розы на длинном стебле, которые действительно были "жаждущие" (что утверждалось в одном из сообщений Полумесяца), поскольку они начинали увядать. "Following" привёз с собой воду и полил их, также отметив, что кто-то переместил их, т.к. изначально они были установлены в стеклянной вазе, будучи позднее оставленными в старом цветочном горшке, где он их и нашёл. "Послания" Полумесяца на месте не оказалось, на что тот ответил так: "If the message was not there, I did not forsee this. (Если там и не оказалось послания, то я это не предвидел. Постарайтесь его отыскать. Я брошу тень на то, как оно повлияет на истину. Я буду оставаться на связи.).
Раскадровка ключевых моментов:
Шестая видеозапись
29 сентября публикуется шестой по счёту ролик, принадлежная категория — "путешествия", описание: "three score eighteen". Число просмотров несколько увеличилось, хотя оно всё ещё не может быть показателем возросшей заинтересованности на время обнаружения. 2139 кадр демонстрирует фотографию дорожного знака на мосте, помечающего выезд под номером 6 на межштатной американской автостраде I-310, расположенный прямо до пересечения моста Лулинга (также известного как "Hale Boggs Memorial Bridge" над рекой Миссисипи. Шоссе Луизианы под номером 48, так же запечатлённое на фотографии, тоже речная дорога, проходящая через город Дестрхен. На фоне играет песня "Ol' Man River", исполненная Джеффом Беком и выпущенная в альбоме "Truth" ("Истина"). Примечательно, что её первоисточник, где её впервые сыграли, это мюзикл "Show Boat" 1927 года. Текст композиции посвящён реке Миссисипи, что достаточно ожидаемо, поскольку знак размечает мост на переправе упомянутого моста Лулинга, выстроенного над рекой. Фраза из описания, по анализу пользователя "CaptKing", может означать два варианта. "score" — это закрепившееся обозначение числа "20" в английском языке, значит, "three score" (трижды "score") — это три раза по двадцать, и будет 60. Последнее оставшееся "18" может как быть представленным сложением с 60, что выявляет 78, так и банальным совмещением в одно четырехзначное число — 6018. Этот же пользователь установил ещё несколько значимых деталей. Прежде всего, анализ информации по мосту Лулинга выводит на сведения о 20 октября 1976 года, когда паром "George Prince" столкнулся с танкером при пересечении реки от Дестрхена до Лулинга, двух пунктов, соединенных данным мостом. После того, как паром смогли вытащить из воды, было установлено, что 78 человек погибло; выжило лишь 18. Во-вторых, было найдено место со спутникового снимка на Гуглкартах, что позволило посчитать его следующим указанием на место встречи.
В дальнейшем анализ на основе воспоминаний о прошлых тенденциях по выбору локаций показал, что, скорее всего, Полумесяц под данной загадкой подразумевал не само место крушения, а воздвигнутый ему памятник, как было и в прошлом случае с авиакатастрофой, когда игроки собирались не напрямую на зоне происшествия, а в церкви, где была установлена памятная икона, возле которой и были увядавшие цветы. Таких памятников в случае с потонувшим паромом оказалось два: монолитное сооружение на переднем дворе у фасада суда "St. John the Baptist Parish Courthouse" и неприметная детская площадка под самим мостом, где, по голосованию, люди скорее хотели установить памятник. Но учитывалось, что в прошлый раз пришлось провести поездку к церкви, поэтому и в этот раз было выбрано предположительное религиозное учреждение — ближайший храм Эдгарда на шоссе под номером 18. Было предположено, что Полумесяц стремится выбирать именно те катастрофы, что были вызваны не естественным путём, а произошли по вине человеческого фактора, однако такое предположение не совсем подходит первому случаю, когда самолёт упал из-за роковых погодных условий. Точная дата в ролике дана не была.
Раскадровка ключевых моментов:
















Седьмая видеозапись
Седьмой видеофайл был устроен несколько неожиданно, поскольку прежде Полумесяц не выходил на контакт в настолько открытой форме, тогда как в этот раз он заснял самого себя, сидящего в кресле с маской на голове, на которой были вышиты (написаны?) три знака "X". Аудиоряд представлен его искажённым в соображениях анонимизации голосом. Ролик был загружен 3 октября 2008 года, категория оставалась постоянной, представляя собой "путешествия", а описание состояло из 26 повторений цифры "3" с пробелами. Из примечательного можно выделить следующее: на кадре 450 ненадолго возникает надпись "003" в правом нижнем углу; на кадре 641 появляется знак вопроса по центру, за которым четыре кадра спустя следует символ бесконечности, применявшийся и раньше, как в лице восьми красных роз, так и в своём прямом значении; на кадре 1366 в правом нижнем углу на экран выводится стандартная подпись-полумесяц, после чего на 1369 кадре на короткое мгновение замечается Уроборос, древний символ, наиболее распространённая трактовка и интерпретация которого — репрезентацию вечности и бесконечности, в особенности — циклической природы жизни. Его изображение также могло быть наводкой на день змеи (коатля), ближайший которому на тот момент был 8 октября, что, как посчитали пользователи, могло быть точной связью с датой встречи.
Раскадровка ключевых моментов:











Восьмая видеозапись
На данном этапе происходящее в истории начинает постепенно приближаться к своей грубой и обрезанной напрямую участниками развязке. 6 октября внезапно публикуется новая видеозапись уже с точным указанием как на место, так и на время. Точный пункт сбора был изображен повторным предоставлением локации со снимка со спутника, которой соответствуют координаты " "29º 56'23.50" и 90º 21'07.84" ". День был помечен ацтекским символом, ответственным за период Tochtli, ближайшая дата которого в 2008 году — Хэллоуин. Незамедлительно пользователю "twelve", ранее проводившему достаточно бурную активность в помощи, было отправлено личное сообщение от Полумесяца со ссылкой на YouTube-ролик на случайном постороннем канале на тему того, как правильно рыть яму в земле, что помогло частично установить предназначение комбинации знаков на 188 кадре, где было последовательно показано: число "78", крест с диагональным пересечением, стрелка вниз, почтовый конверт. Наблюдая за недовольством некоторых пользователей, игроком "LaurenBelle" было предположено, что 78 может стоять не за обозначением 78 футов, которые стоит прокопать приехавшим на локацию, а за количеством людей, погибших при катастрофе с паромом "George Prince", существенно повлиявшем на ход расследования позапрошлого фрагмента, что, возможно, были похоронены на месте со снимка, либо утонули под водой на глубине 78 футов на этом же самом месте в форме буквы "Y", где на двух пересечениях и произошёл инцидент.
Раскадровка ключевых моментов:











Девятая видеозапись
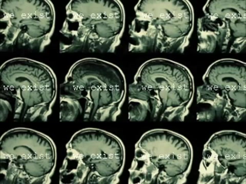
Девятый ролик по хронологии был одной из сторонних и отвлечённых частей, прямо не повлиявших на действия игроков в реальной жизни. Принадлежная категория оставалась той же, загружено было в день, что и прошлый файл, — на 8 октября 2008 года. Число просмотров продолжало понижаться, вероятно, из-за массового спада интереса к теме, что уже было своеобразным индикатором нерасторопности и медлительности участников. Описание было составлено введённой со строчной буквы и без точек фразой: "like it or not" (нравится это вам или нет), что относится к многократно появляющимся на 394 кадре словам "we exist" (мы существуем) и последующим выражениям "just because you cannot see us" (то, что вы нас не видите) и "does not mean we are not there" (, не означает, что нас нет). Информативность данной публикации, не учитывая закреплённую на 32 кадре подпись Полумесяца, заканчивается.
На следующий день пользователем "LaurenBelle" было получено письмо на аккаунт YouTube с ответом автора на комментарий относительно точной локации, где предстоял выбор из места смерти и захоронения. Текст содержал вырезку из поэмы "Mississippi River Flood", написанной Джозефом А. Декером младшим, и посвящённой потопу у русел реки Миссисипи. Вскоре инициативу по посещению пункта проявил пользователь "degravedi", однако она оказалась излишней и слишком ранней, что далее утверждалось в посланиях Полумесяца другому участнику под цифровым псевдонимом "natas":
natas: who is this? You added me as a friend? (кто это? Вы добавили меня в друзья?)
00CRESCENT00: yes we are all friends i am the crescent (да все мы друзья я полумесяц)
natas: How can I help you crescent? (Как я могу помочь вам, Полумесяц?)
00CRESCENT00: i have a message for you (у меня есть сообщение для вас)
she arrives too early (она приедет слишком рано)
she will not be met with harm (её жизни ничто не будет угрожать)
yet she will find no message (но послание она не найдёт)
the time is not right (время неверно)
without order this is chaos (без порядка происходящее становится хаосом)
and chaos creates order (а хаос производит порядок)
natas: So we have to wait for chaos to attain order. When will the time be right? How will we know? (Значит, нам нужно ждать, пока хаос не достиг порядка. Когда время будет верно? Как мы об этом узнаем?)
00CRESCENT00: chaos exists (хаос существует)
now as we speak (в данный момент)
you know the time already (вы уже знаете время)
it has been said (оно оговаривалось)
deliver (доставляйте)
Ещё через день natas отправил очередное сообщение, которое вновь вылилось в непродолжительную беседу с Полумесяцом:
natas: Any News? (Какие новости?)
00CRESCENT00: You are all doing well (Вы хорошо справляетесь)
natas: Are we? We just seem to be doing nothing. No sense of direction or purpose. (Разве? Мы же ничего не делаем. Мы не знаем, что нам делать дальше, и какую роль мы играем)
00CRESCENT00: You all serve a purpose. In time it will be revealed. (Все вы имеете значение. Со временем всё будет раскрыто)
natas: Stay well. Keep in touch. (Берегите себя. Будьте на связи)
00CRESCENT00: Yes. I am watching. (Да. Я наблюдаю)
Раскадровка ключевых моментов:







Десятая видеозапись
Десятый видеофайл был загружен на 15 октября 2008 года, принадлежная категория при этом оставалась неизменной. Число просмотров уменьшилось ещё на 50 штук, а сама публикация не была встречена целевой аудиторией с должным интересом. Было отмечено, что на 182 кадре изображены две фигуры одного человека с двух позиций: сзади и спереди, причём на передней перспективе на груди субъекта выведена комбинация "78)", где "7" представлено обычной цифрой, "8" имеет небольшой наклон влево, что напрямую ассоциируется с символом бесконечности. На 273 кадре повторяется визуализированное изображение дня Tochtli, что, возможно, было вновь размещено, исходя из переписи с пользователем "natas", где Полумесяц мог заметить, что некоторые участники склонны забывать свои прошлые находки. На 541 и 542 кадрах представлены три креста с диагональным пересечением, каждый из которых пронумерован, после чего всплывает фраза "choose them wisely" (выбирайте их с умом). По предположениям "revsleestaxx" это может означать намёк на наличие некого выбора на локации, либо на прямой выбор локаций, где может быть оставлено послание.
Раскадровка ключевых моментов:









Одиннадцатая видеозапись
Одиннадцатый ролик на этот раз оказывается памяткой и частичной головоломкой, которая, как даёт знать описание с фразой "you will need this" (вам это пригодится), окажется полезной в будущем. Файл был загружен 16 октября 2008 года, принадлежная категория — путешествия, число просмотров увеличилось. Видеозапись состоит всего из четырех кадров, не учитывая чёрных "пустотных", не наполненных контентом и служащих для переключения между зонами (а также включения в завершение). На 32 по счёту фигурирует несколько видоизмененная подпись в виде трех перевернутых полумесяцев-стадий луны; на 62 виден шифр, что будет рассмотрен несколько позднее; на 363 появляется рисунок ключа, который уже на 422 кадре пакуется в конверт, что символически означает его скорое или текущее отправление на место в реальной жизни, где его потребуется забрать. Непосредственно шифр транскрибируется следующим образом:
"QHGFBNPLSAXZOTRYGMJLS
IMKNTAEVQILOWECBGLPOV
JGFHDMNVBSWEOPLGHDSWH
OHJAPLWSMNRINAHSMXRAW
LKFNVEPWOTYLKDSQAMBZX
BNPROFRIVXLEQZMPLAWLE
LPEWJGXNCVFPQITRYLKDG
YFHQTTKOIHIPSEHWGRBAT
UTISQWGHDFLPREQMBHJDHR"
При этом последняя строка имеет на одну букву больше, чем следует, что наводит на некоторые сомнения по природе его расшифровки и происхождения. Пользователем "degravedi" было предположено, что это может быть шифровка Виженера, однако такая мысль была в дальнейшем опровергнута, т.к. шифровка оказалась по ключевым словам, что было замечено благодаря выступающей букве последней строки. 17 октября "natas" заметил, что аккаунт Полумесяца на "yahoo" изменил свой идентификатор, тогда как прошлый трансформировал никнейм на "thecrescentwas", что сопровождалось письмом, пересказанным как напутствие о сохранении терпения и скором получении ключа. Подобные письма были отправлены и пользователю "amandel", спросившему о том, получит ли сообщество ключ:
"Re: fate (Тема ответа: "судьба"
in time. (со временем.)
yes. (да.)
patience. (терпение.)
fate is fickle. yet we will control it. (судьба переменчива. тем не менее мы возьмём её под контроль.)
for every date a reason. for every location a story. (на каждую дату по причине. на каждое место по истории.)
without order there is chaos. (без порядка воцарится хаос.)
Таким образом, игрокам оставалось лишь ждать.
Раскадровка ключевых моментов:
Двенадцатая видеозапись
20 октября 2008 года, в день годовщины катастрофы с потоплением парома, публикуется один из двух наиболее значимых видеороликов со всё той же прикладной категорией и описанием "even roads may wash away" (даже дороги может смыть). В этот раз Полумесяц снимает на камеру или соответствующую аппаратуру, как он самостоятельно приезжает на назначенное место (к картографическому основанию Y-образного русла), где оставляет ключ для разгадки оставленного ранее шифра, при этом привезённый им предмет в зону видимости объектива не попадает. За исключением данных кадров материала в формате загадок оставлено не было.
Пользователь "natas" уведомляет, что ему удастся оказаться с ночи среды по утро четверга на отмеченном месте, но в этот же момент он получает сообщение от "thecrescentwas", исходя из которого, он понимает, что четверг — слишком рано, тогда как нахождение объекта назначено на 31 октября, Хэллоуин. Диалог был запротоколирован и опубликован на форуме:
thecrescentwas: send one in your stead, one to become three (вышлите кого-нибудь заместо себя, кого-то, кто бы стал тремя)
me: one to become three. You planning on doing some Jefferey Dahmer shit? (кого-то, кто бы стал тремя. Вы собираетесь провернуть то же дерьмо, что и Джеффри Дамер?)
thecrescentwas:
no harm to the one (не будет вреда первому)
no harm to the second (не будет вреда второму)
no harm to the third (не будет вреда третьему)
i watch you all (я слежу за каждым из вас)
as many you are wise (в своём множестве вы умны)
choose your three (выбирайте своих трёх)
three to become one (трёх, что стали бы одним)
30 октября "degravedi", согласившаяся поехать 31 числа для того, чтобы забрать оставленную Полумесяцом "посылку", получает сообщение на YouTube с заголовком "time" (время) и содержимым в одно единственное слово "noon" (полдень). На следующий день она действительно выезжает на локацию, но ничего так и не обнаруживает, взяв несколько случайных фотографий зоны, а также загрузив их на альбом photobucket, чтобы продемонстрировать прочим игрокам, как выглядела территория. 2 ноября героиня получает письмо от Полумесяца со следующим текстом:
"003(1)
your inspection was cursory (ваш осмотр был беглым)
I am not pleased (я не доволен)"
Раскадровка ключевых моментов:











Тринадцатая видеозапись
Тринадцатый ролик был адресован лично "degravedi", подсказывая ей корректное направление к обнаружению оставленного тайника посредством помещения крупного "X" на взятые ей фотографии локаций, не относящихся к загадке, и размещая число "78" на вполне конкретном месте на одной из фотографий, при этом приписывая фразу "these bear no message" (эти не несут моё послание) к другому изображению с фотографией каменистого берега реки. Дата загрузки — 6 ноября 2008 гола, принадлежная категория — "путешествия", описание состоит из "degravedi", на что она ответила в комментариях: "I'm here. I apologize for my disappointment. I'll do better...I'll prove my worth. (Я здесь. Я извиняюсь за своё разочарование. Я справлюсь лучше... Я докажу, что я способна)".
Вечером 8 ноября "degravedi" возвращается с похода и уведомляет, что сообщение было получено. Им оказался CD-диск, закопанный где-то на дюйм под камнем с надписью "78" в зоне, изображённой на полученной картинке. Диск содержал видеозапись "keys.mov", что была перезалита на YouTube в дальнейшем. Видеоряд составлен съёмкой Полумесяцем трёх заброшенных зданий, чему предшествует запись надвигающейся бури в этом же районе, за которой следуют надписи: "3 strangers, 1 location each (3 странника, по каждому на одно местонахождение)". Кадры подводятся к концу изображением ключа и кода с подсказкой на верную расшифровку ранее появлявшегося кода в одиннадцатой видеозаписи. Выстраивание номеров под каждым рядом с использованием букв над ними в числовом порядке даёт следующий результат (учитывая убранные нули):
IMKNTAEVQILOWECBGLPOV
603002450010870000000 = LAKEVIEW
OHJAPLWSMNRINAHSMXRAW
800000170956032000400 = WHARRISON
BNPROFRIVXLEQZMPLAWLE
100000760048000035002 = BELLAIRE
YF H Q T TKOI H IPSEHWGRBAT
60[10]0[11]1003[12]80072094005 = THIRTYEIGHTH
UTISQWGHDFLPREQMBHJDHR
0000000000000000000001 = R + уже имеющееся латинским алфавитом AIN в нижнем столбике = RAIN
"Lakeview" — это район, который хорошенько потрепало во время урагана Катрина, большинство домов где до сих пор не используются и не заселяются. Совмещение полученной через видеозапись информации (фотографий домов и их номеров) с расшифрованным кодом даёт адреса улиц, расположенных всего на несколько блоков друг от друга. Значение подписи "RAIN" установлено не было.
- 358, W. Harrison Ave. Адрес неточен, но при использовании просмотра улиц от первого лица на картах Google можно заметить, что строение то же самое.
- 6612, Bellaire Dr.
- 400 38th St.
Раскадровка ключевых моментов:
Четырнадцатая видеозапись
С этой части ARG подошла к преддверию своего конца, поскольку для дальнейшего продвижения требовалось найти 3 человека-незнакомца, которые могли бы отправиться на обнаруженные "degravedi" места, а координация на форумной сети Unfiction, несмотря на множественную инициативу по помощи, не включающую реальную жизнь, отсутствовала, как и интерес к самой игре Полумесяца. Видеоролик был загружен 12 ноября 2008 года с той же категорией и описанием "what fate has befallen us (какая судьба нам была уготовлена)", на этот раз собрав за шесть сотен просмотров и ряд комментариев участников, в том числе и degravedi, о том, что они не забыли Полумесяца, пусть тот так не считает. Кадры ничем примечательным не отличаются.
Раскадровка ключевых моментов:












Пятнадцатая видеозапись
15 апреля 2009 года, практически спустя полгода, публикуется последнее видео той же категории и описания "trust acquires truth (доверие овладевает истиной)". На этот раз реакция отсутствовала полностью.
Раскадровка ключевых моментов:











Дополнительные сведения
- Новый Орлеан, фигурирующий как основное место действия в истории, имеет закрепившееся прозвище "Город-полумесяц". Его также называют "Большой простотой" и "Беззаботным городом", что, правда, не имеет ценности в рамках анализа.
- Автором ARG, зарегистрировавшемся на форумной сети Unfiction и следящем за прогрессом по решению загадок, были оставлены два поста, в которых он напутствовал действиям со стороны игроков.
См.также
Внешние ссылки











